肺癌篩檢揪出結節2/3是惡性 7年僅長大0.2公分手術後才確診

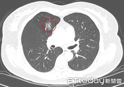
肺癌低劑量電腦斷層(LDCT)篩檢愈來愈普及,某些人覺得太早期發現個案,對患者恐造成困擾,但台北慈濟醫院最新研究顯示,其實肺部結節若進入手術、切片確認的階段,最後結果高達2/3為惡性,且早期肺癌生長速度緩慢,1年僅約增加0.1公分,這凸顯影像判讀、處置決策都不容易,民眾也不能掉以輕心。 《詳全文...》

肺癌低劑量電腦斷層(LDCT)篩檢愈來愈普及,某些人覺得太早期發現個案,對患者恐造成困擾,但台北慈濟醫院最新研究顯示,其實肺部結節若進入手術、切片確認的階段,最後結果高達2/3為惡性,且早期肺癌生長速度緩慢,1年僅約增加0.1公分,這凸顯影像判讀、處置決策都不容易,民眾也不能掉以輕心。 《詳全文...》