Stack News 群眾新聞
文章列表
登入/註冊
關於我們
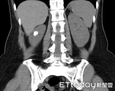
罕見腎結石害反覆泌尿道感染 醫曝拖延後果:腎化膿+敗血症
一名50歲女性反覆泌尿道感染,原以為只是一般感染問題,就醫檢查才發現竟和天生的「腎盞憩室」與結石有關,經微創輸尿管鏡碎石手術取出結石並擴大通道,長期的感染困擾終獲緩解。
《詳全文...》
媒體來源:ETtoday - 2026-03-13 10:40:00 (44 天前)
分數:
-
| 正評
0
| 負評
0
|