腹瀉腹脹別輕忽!他罹多發性結腸癌擴散腹腔 治療成果登國際期刊

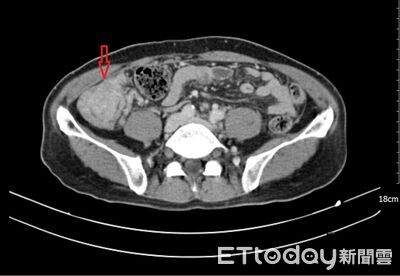
66歲陳先生半年前陸續出現全身倦怠、食慾不振、腹脹與腹瀉等情形,短短2個月暴瘦6公斤,就醫診斷出「多發性結腸癌」,且腫瘤已擴散至腹腔。義大癌治療醫院評估後,先安排陳先生接受化療,後續再接受高壓氣霧化療、腫瘤減積手術清除病灶,陳先生術後恢復順利,目前體力、活動能力逐步改善,這份研究成果登上國際期刊,再次顯示台灣醫療領域的臨床經驗與學術能量。 《詳全文...》

66歲陳先生半年前陸續出現全身倦怠、食慾不振、腹脹與腹瀉等情形,短短2個月暴瘦6公斤,就醫診斷出「多發性結腸癌」,且腫瘤已擴散至腹腔。義大癌治療醫院評估後,先安排陳先生接受化療,後續再接受高壓氣霧化療、腫瘤減積手術清除病灶,陳先生術後恢復順利,目前體力、活動能力逐步改善,這份研究成果登上國際期刊,再次顯示台灣醫療領域的臨床經驗與學術能量。 《詳全文...》