她頭暈摔車竟「心包積血+主動脈剝離」 死亡率極高當心5症狀

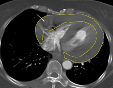
46歲的陳小姐長期反覆頭暈,但不以為意,日前騎機車返家突意識不穩而摔倒,緊急送醫院時已經休克,醫療團隊檢查發現她心臟外層迅速累積大量心包積血,高度懷疑合併外傷引發的「升主動脈剝離」,是死亡率極高的致命急症。在關鍵72小時內3次手術後,團隊將她從生死關頭拉回。 《詳全文...》

46歲的陳小姐長期反覆頭暈,但不以為意,日前騎機車返家突意識不穩而摔倒,緊急送醫院時已經休克,醫療團隊檢查發現她心臟外層迅速累積大量心包積血,高度懷疑合併外傷引發的「升主動脈剝離」,是死亡率極高的致命急症。在關鍵72小時內3次手術後,團隊將她從生死關頭拉回。 《詳全文...》