40歲女戒菸2年沒不適 篩出右肺長小顆「毛玻璃結節」確診肺癌

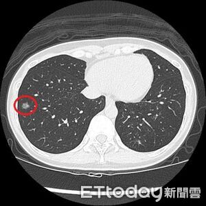
年約40歲的陳小姐過去有抽菸習慣,近2年戒掉,日前身體雖無不適,但符合公費低劑量電腦斷層(LDCT)篩檢條件,決定去檢查,結果在右肺發現一顆約1.2公分的毛玻璃結節,經手術切除後,病理檢查確診為肺癌;醫師說,此案例凸顯即使已戒菸且無症狀,仍可能有早期肺癌,民眾不能輕忽。 《詳全文...》

年約40歲的陳小姐過去有抽菸習慣,近2年戒掉,日前身體雖無不適,但符合公費低劑量電腦斷層(LDCT)篩檢條件,決定去檢查,結果在右肺發現一顆約1.2公分的毛玻璃結節,經手術切除後,病理檢查確診為肺癌;醫師說,此案例凸顯即使已戒菸且無症狀,仍可能有早期肺癌,民眾不能輕忽。 《詳全文...》