胃痛別輕忽!她腸子像「望遠鏡」縮進去 罕見腫瘤引發腹內災難

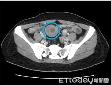
一位45歲的王姓女子一個多月以來飽受腹部疼痛與胃痛困擾,經診斷為小腸套疊,套疊得如望遠鏡,卻驚人發現腸套疊的元凶,竟是小腸黏膜下層一顆三公分罕見腫瘤。平等澄清醫院一般外科王志浩醫師表示,腫瘤因其生長位置與特性,常會引發嚴重的腸套疊,若不及時處理,恐引發腸道缺血壞死或穿孔危及生命。 《詳全文...》

一位45歲的王姓女子一個多月以來飽受腹部疼痛與胃痛困擾,經診斷為小腸套疊,套疊得如望遠鏡,卻驚人發現腸套疊的元凶,竟是小腸黏膜下層一顆三公分罕見腫瘤。平等澄清醫院一般外科王志浩醫師表示,腫瘤因其生長位置與特性,常會引發嚴重的腸套疊,若不及時處理,恐引發腸道缺血壞死或穿孔危及生命。 《詳全文...》