因禍得福!男車禍重傷送醫「被揪出罹癌王初期」 醫:超罕見

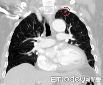
台中一名林姓男子因車禍造成肋骨多處骨折、胸腔積水,被送到醫院急救,結果就在醫師與影像醫學科團隊仔細檢視電腦斷層時,意外發現林男肺部有一個小於1公分的腫瘤,醫師進行手術搶命同時也切除腫瘤,最後病理報告也證實為肺腺癌,讓這個原本可能潛伏多年、毫無症狀的病灶,因車禍而被提早發現,讓男子免於癌王威脅。 《詳全文...》

台中一名林姓男子因車禍造成肋骨多處骨折、胸腔積水,被送到醫院急救,結果就在醫師與影像醫學科團隊仔細檢視電腦斷層時,意外發現林男肺部有一個小於1公分的腫瘤,醫師進行手術搶命同時也切除腫瘤,最後病理報告也證實為肺腺癌,讓這個原本可能潛伏多年、毫無症狀的病灶,因車禍而被提早發現,讓男子免於癌王威脅。 《詳全文...》