都是布鉤繩索!10年前翻車逃劫 如今被撞慘碎14根肋骨

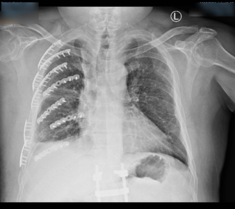
國道1號日前發生驚險工安意外!一名51歲陳姓國道工作人員在處理掉落的高危險布鉤繩時,竟遭疾駛而來的遊覽車猛烈撞擊,造成全身多處粉碎性骨折,光是肋骨就斷了14處。經過衛福部彰化醫院緊急進行3D微創胸腔重建手術後,原本連呼吸都痛到必須「憋氣」的陳男,重展笑顏「終於可以自由呼吸了」! 《詳全文...》

國道1號日前發生驚險工安意外!一名51歲陳姓國道工作人員在處理掉落的高危險布鉤繩時,竟遭疾駛而來的遊覽車猛烈撞擊,造成全身多處粉碎性骨折,光是肋骨就斷了14處。經過衛福部彰化醫院緊急進行3D微創胸腔重建手術後,原本連呼吸都痛到必須「憋氣」的陳男,重展笑顏「終於可以自由呼吸了」! 《詳全文...》